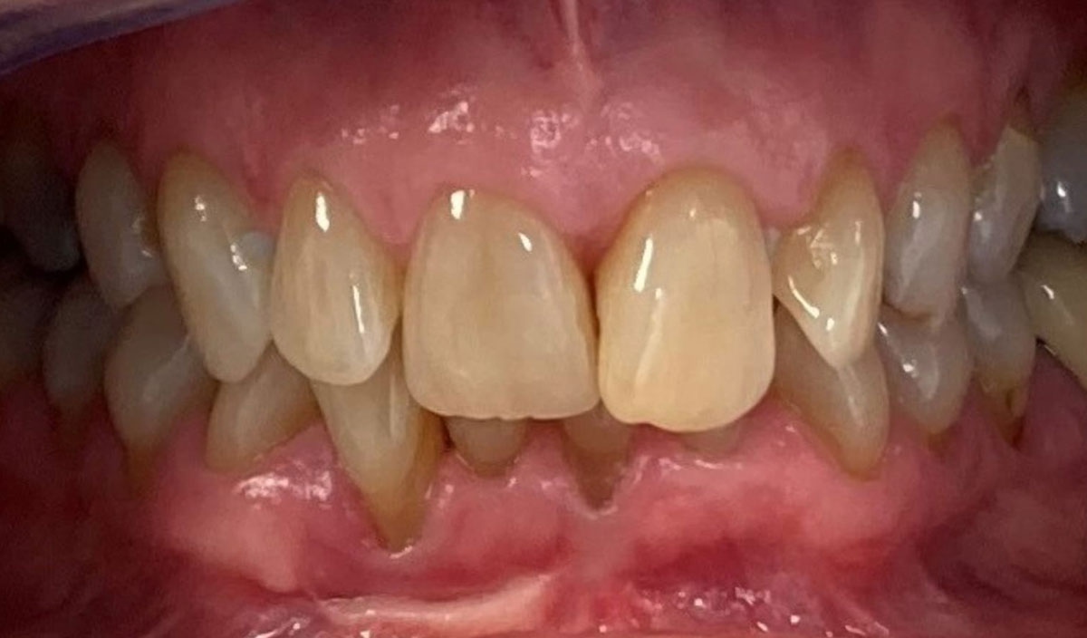
Toni feels that she has always been blessed with fairly straight teeth that were also quite white but had noticed a gradual yellowing over time. This became more apparent whilst laughing at a joke with her hairdresser. After researching whitening products and talking with friends and family that had purchased whitening products, they had all experienced sensitivity as a side effect. At her most recent examination she decided to ask her dentist about whitening.
At my most recent check up she talked me through a couple of options, and I liked the sound of the Enlighten programme. She explained what was involved and that there should be no sensitivity. Win, win!. After one week, I thought I could notice a difference, but after two weeks, I definitely could. Friends and colleagues did not ask me directly if I had had my teeth whitened, but they told me I was looking good or looking well. After Jess applied the final treatment after two weeks, the overall effect was stunning. I couldn't be more pleased and I can honestly say, hand on heart, there is no sensitivity. I am looking forward to my next hairdresser appointment and looking in the mirror as I laugh at one of her jokes!!
Toni